There is insufficient evidence to support a strong recommendation related to infection risk and treatment of CSF fistulae following pTBI.
Level IICSF fistulae should be surgically repaired following pTBI to reduce the risk of infection and poor outcome.
There is insufficient evidence to support an evidence-based recommendation for dural repair by an allograft or autograft to prevent CSF fistulas.
Level C - Expert Consensus (Delphi Voting)In the absence of direct scientific evidence, EXPERT CONSENSUS concluded that:
No evidence or expert opinion supported distinct recommendations based on patient gender, age, wounding mechanism, or military vs. civilian context.
The human brain is immersed in CSF which is tightly sealed by dura and leptomeninges while supported by the cranial vault and scalp. As such there is no free communication of subarachnoid space with the skin surface, paranasal sinuses and mastoid air cells. Penetrating traumatic brain injury (pTBI), being an open wound, violates this secure environment by two mechanisms.
Management recommendations in the previous edition of these guidelines were provided on this topic at the level of options. This was based on 9 articles (seven military and two civilian GSWH). The recommendation stated that:
"Surgical correction is recommended for CSF leaks that do not close spontaneously, or are refractory to temporary CSF diversion. During the primary surgery, every effort should be made at close the dura and prevent CSF leak."
Since 2001 8 articles (six civilians and two military) provided a higher level of evidence than in the first edition, leading to a moderate strength recommendation in this edition.
We identified no comparative studies where some patients received planned water-tight dural closure and other patients received planned no dural closure or less-than-water-tight dural closure. We identified 16 non-randomized studies (N=6,452) that reported outcomes in patients where water-tight dural closure was attempted, though not always successfully. Mean sample size was 403 (range 13 to 1,732), average study mean age was 24.6 years (range 21 to 37.8 years) in studies that reported age (9 studies), average study proportion males was 94% in studies that reported proportion of males (11 studies). Eight studies were in a military population, six in a civilian population, and two in mixed military and civilian population. The vast majority of penetrating injuries involved gunshot wounds or shrapnel. Three studies were conducted in Vietnam and Turkey; two studies were conducted in the United States, Croatia, and Korea; one study each was conducted in Brazil, India, Iran, and Iraq. No specific harms of watertight closure of the dura were reported.
Four non-randomized studies (N=2,206) reported infection rates in the proportion of patients with cerebrospinal fluid (CSF) fistula compared with those without fistula.
Several other works were identified that support the above findings, but did not meet criteria for inclusion due to lack of granularity of injury patterns or procedures performed,
One study was identified in a population of U.S. military patients that concluded that watertight closure, harvesting adjunct grafts (pericranium), or utilizing suturable grafts was time consuming and noted benefits were not apparent relative to the increased operative time in multiply injured patients.
There were no harms reported secondary to watertight closure or associations with type of dural graft used.
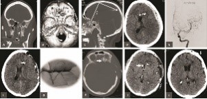
KH was a 36-year-old lady who attempted suicide following years of depression (Fig1). The slug penetrated the left orbital apex and ethmoid air-cells before tearing into the dura mater and left frontal lobe. The fragment lodged into the vertex parietal bone after ricocheting near the coronal suture. At the time of admission (May 10, 2015) she was stuporous (GCS 7, motor score 5) with frozen left-eye movements and a dilated and nonreactive pupil. There was right sided hemiparesis. Computed tomography depicted the site of penetration near left medial orbital wall, orbital roof, frontal skull base, left frontal lobe in conjunction with an acute subdural hematoma and shift of the midline structures to the right side (Fig 2, plates A, B, C, and D). Digital subtraction angiography did not reveal any vascular injury (Fig 2 plate E). An urgent decompressive hemicraniectomy was followed by CSF diversion and external ventricular drainage (Fig 2 EVD, plate F). Postoperatively, free flow of CSF and pulped brain was noticed from the soft palate and nostrils. The patient was re-explored, primarily repairing the frontal base dural defect followed by reconstructing the perforation near the left orbital roof (Fig 2 plates G, H). Six weeks following her pTBI injury the patient had autologous cranioplasty (Fig 2 plates I and J). Three months following pTBI she was alert and oriented but had left eye blindness and moderate weakness of right foot.
Cerebrospinal fluid leaks are the scourge of pTBI management and have to be taken seriously. The best evidence for this statement is not only the findings from the preceding literature review but also by considering the history of pTBI management.
Harvey Cushing was first to recommend watertight closure of scalp in order to prevent CSF leaks especially if basal cisterns or the ventricular systems were violated.
Level II evidence supports a moderate strength recommendation that CSF fistulas predispose the victim of pTBI to deadly CNS infections and that they should thus be prevented. Future prospective observational studies should clarify if allografts (Lyodura, Dura Guard, Duraflex) are as effective as autografts (pericranium, temporalis fascia, tensor fascia lata) in preventing CSF fistulas and CNS infections, and what their relative risk for infection is.